Skip to main content
Die Website für zeitgemäße Kaninchenhaltung

Blinddarm-Aufgasung bei Kaninchen

Die Tympanie bezeichnet eine Aufgasung des Magen-Darm-Traktes, insbesondere des Blinddarms, und verläuft ohne eine schnelle Intensivbehandlung häufig tödlich. Aber: Entgegen vieler Gerüchte kommt eine wirkliche Aufgasung beim Kaninchen relativ selten vor:

  • Bauchschmerzen sind nicht gleich Aufgasungen! In den meisten Fällen von Bauchschmerzverhalten liegt eine andere Ursache zugrunde, die Gasbildung hält sich dabei meist in Grenzen und ist lediglich eine Folgeerscheinung von untergeordneter Bedeutung.

  • Eine "Magenaufgasung" ist fast immer die Folge eines Ileus (Darmverschlusses)! Dabei handelt es sich ebenfalls um einen lebensbedrohlichen Notfall - er bedarf jedoch einer anderen Therapie als eine klassische Aufgasung und darf keinesfalls übersehen oder ignoriert werden! 

Jedes Kaninchen mit schlechtem Allgemeinbefinden und / oder aufgetriebenem Bauch muss umgehend einem kaninchenkundigen Tierarzt vorgestellt werden! Jede Stunde, die abgewartet wird, verschlimmert seine Schmerzen und verschlechtert die Prognose.

Ursache für Aufgasung

Mögliche Ursachen für akute schwere Aufgasungen sind vor allem:

Mehr…

Eine Passagestörung im Magen-Darm-Trakt - röntgenologisch v. a. an einer Magendilatation (Magenvergrößerung) erkennbar - kann entweder durch einen mechanischen Ileus (s.u.) oder eine reduzierte / fehlende Muskeltätigkeit bedingt sein. Ist die Muskeltätigkeit reduziert, spricht man von einer gastrointestinalen Stase. Eine solche kann zu einer Entgleisung der Darmflora und in der Folge zu einer massiven Aufgasung führen. Vollständige Darmlähmungen können z. B. durch für Kaninchen giftige Medikamente (Butylscopolamin, z. B. Buscopan® !!) entstehen.

Auch Narkosezwischenfälle, Darminfektionen und schwere Allgemeininfektion mit Sepsis (Blutvergiftung) / Multiorganversagenführen häufig zu einer Darmträgheit oder -lähmung.

Abrupte Futterumstellungen (ungewohnt große Mengen Trocken- oder Frischfutter, Kohl oder Jungpflanzen im Frühjahr), auf die der Verdauungstrakt des Kaninchens nicht eingestellt ist, können die Darmflora ebenfalls zum Kippen bringen. Jungtiere sind besonders gefährdet. Derartige Futterumstellungen müssen immer langsam über mehrere Tage hinweg erfolgen. 

Darmparasitosen, insbesondere die Kokzidiose, sind v. a. für junge oder immunschwache Tiere gefährlich, während ausgewachsene, gesunde Kaninchen i. d. R. nur milde Symptome zeigen. Besonders häufig kommt es zu akuten Aufgasungen durch Kokzidien, wenn infizierte Jungkaninchen in ein neues Zuhause ziehen und der damit verbundene Stress das Immunsystem schwächt.  

Clostridien- oder Klebsiellenbefall sowie aggressive E.coli-Stämme sind ebenfalls mögliche Auslöser. Sie stören das Gleichgewicht der natürlichen Darmflora und schädigen die Schleimhäute. Nehmen sie überhand, können sie zu akuten, lebensbedrohlichen Darmsymptomen führen. Diese sind regelmäßig begleitet von einer Appendizitis, also einer Entzündung des Blinddarmfortsatzes (Wurmfortsatzes). 

Ebenso wie Darmparasiten führen auch pathogene Darmbakterien vor allem bei Kaninchen zu Symptomen, die aufgrund von Stress (z.B. Umgebungswechsel, zu frühe Trennung vom Muttertier, Haltungsfehler) oder einer chronischen Erkrankung (z.B. Enzephalitozoonose, Mittelohrentzündung, Tumorerkrankung, Zahnerkrankung, ...) immungeschwächt sind.

Daher sollten Sie grundsätzlich eine Kotprobe - bestenfalls der letzten 3 Tage - des aufgegasten Kaninchens mit zum Tierarzt nehmen und untersuchen lassen - nicht nur parasitologisch, sondern auch bakteriologisch!

Bei einer Leberlappentorsion dreht sich ein Leberlappen um die eigene Achse. Es kommt zur Abschnürung von Gefäßen, wodurch sich das venöse Blut im Lebergewebe staut. Dies ist häufig mit einer massiven Blinddarmaufgasung verbunden. Als Grund dafür wird einerseits vermutet, dass der geschwollene Leberlappen auf den Dünndarm drücken und dadurch die komplette Darmmotorik beeinträchtigt; andererseits, dass betroffene Tiere aufgrund der abgeschnürten Gefäße und der hochgradigen Schmerzen in einen Schockzustand geraten, der sekundär das Darm-Nervensystem "lahmlegt". 

Atemnot hat zur Folge, dass das Kaninchen - beispielsweise durch Maulatmung - vermehrt Luft abschluckt. Dadurch kommt es sekundär zu Aufgasungen. Da Tiere mit Atemnot meist auch nicht mehr (ausreichend) fressen, Todesangst haben und sich mitunter bereits im Schockzustand befinden, entsteht zusätzlich eine Darmträgheit, die ihrerseits mit Aufgasungen einhergeht.

Ein Schockzustand, unabhängig von der Ursache, führt sekundär häufig zu einer Darmträgheit. Mögliche Ursachen für einen Schock sind z. B. Schmerzen, Todesangst, Atemnot, ein Herzproblem, eine Vergiftung, eine Infektionskrankheit oder im ungünstigsten Fall eine Sepsis (Blutvergiftung) mit Multiorganversagen.

Vergiftungen kommen beim Kaninchen sehr selten vor. Sollte die Möglichkeit bestehen (z. B. durch das Knabbern an einer exotischen Zimmerpflanze, Eibe / Schierling / Maiglöckchen im Garten, Herbstzeitlose im Heu, ...), sind eine sofortige Erste-Hilfe-Behandlung und unmittelbar danach eine umfassende Intensivtherapie unerlässlich, um das Leben des Tieres zu retten.

Ein vorangegangener mechanischer Ileus (Darmverschluss) kann sekundär zu einer - meist jedoch harmlosen - Blinddarmaufgasung führen, da das im Magen entstandene Gas weiterwandert. Auch im Blinddarm selbst kann eine Gasbildung entstehen, da Ileus-Patienten erstens schnell in einen Schockzustand geraten und zweitens der mechanische Weitertransport des gesamten Verdauungstrakts beeinträchtigt ist, wenn irgendwo ein Passagehindernis vorliegt - und Fehlgärungen im Blinddarm entstehen.

Weniger…

Risikofaktoren, die die Gasbildung im Darm allgemein fördern, sind:

  • zuckerhaltige Futtermittel
  • Trockenfutter in Verbindung mit Kohl
  • längere Fresspausen
  • Bewegungsmangel
  • Kotanschoppung / Darmträgheit
  • gärende Futtermittel
  • chronische Stress- / Schmerzzustände
  • Zahnerkrankung
  • latente Darmparasitose / -infektion
Mehr…

Die genannten Risikofaktoren alleine verursachen meist keine akute Aufgasung. Sie begünstigen jedoch deren Entstehung und erschweren den Verlauf, wenn ein akutes Problem (s. o.) hinzukommt oder das Immunsystem geschwächt ist (z. B. durch eine Grunderkrankung, Stress, ein sehr junges oder sehr hohes Lebensalter).

Förderlich für Gasbildung ist die Fütterung zuckerhaltiger Futtermittel. Der Zucker senkt den pH-Wert im Darm, das natürlicherweise basische Darmmilieu wird angesäuert. Die Lebensbedingungen für die natürliche Darmflora werden dadurch erschwert, stattdessen können sich schädliche, gasbildende Bakterien vermehren. Die gleichen Folgen kann zermahlenes Getreide (z. B. in Pellets) haben.

Besonders kritisch ist handelsübliches Trockenfutter in Verbindung mit KohlKaninchen, die mit darmschädigendem Trockenfutter (Weizen, zermahlenem Getreide, laktosehaltigen Leckerlis, ...) gefüttert werden, vertragen oft keine Kohlgewächse und reagieren mit Verdauungsproblemen, wenn beides in Kombination angeboten wird.

Tympanien treten auch infolge von längeren Fresspausen auf: Durch den fehlenden "Nachschub" verlangsamt sich der Transport des Nahrungsbreis durch den Darm und er beginnt zu gären. 

Lange Fresspausen entstehen nicht nur, wenn dem Kaninchen nicht ausreichend Futter zur Verfügung steht oder es aufgrund von Schmerzen, Unwohlsein oder Stress die Nahrung verweigert; sie können auch dadurch zustande kommen, dass ein Kaninchen zu nahrhaft ernährt wird. 

Futtermittel wie Saaten, Haferflocken, Nüsse usw. besitzen einen hohen Sättigungsgrad, d. h. es vergeht eine unnatürlich lange Zeit, bis das Kaninchen wieder Hunger hat. Gleichzeitig enthalten diese Nahrungsmittel keine strukturierte Rohfaser und werden nur sehr langsam durch den Darm transportiert. Diese lange Verweildauer im Darm fördert Fehlgärungen zusätzlich. 

Daher dürfen nahrhafte Futtermittel, wenn überhaupt, nur in sehr kleinen Mengen angeboten werden. Grundsätzlich sind sie nur bei alters- oder krankheitsbedingt untergewichtigen Tieren oder als Leckerli aus der Hand zu empfehlen.

Ein unzureichender Weitertransport des Nahrungsbreis kann ebenso durch Bewegungsmangel verursacht werden. Daher sind Kaninchen, die zeitweise in einen Käfig oder Stall gesperrt und womöglich außerdem mit Trockenfutter ernährt werden, besonders gefährdet.

Eine Verstopfung (Kotanschoppung) führt  dazu, dass der Magen-Darm-Inhalt verzögert oder gar nicht mehr weitertransportiert wird. Auch hierdurch entstehen Gärprozesse und es werden Gase freigesetzt. Häufig gehen diese Krankheitsbilder auch mit einer Magendilatation, seltener einer Magenüberladung einher.

Psychischer oder schmerzbedingter Stress können nicht nur ein reduziertes Fressverhalten zur Folge haben, sondern auch direkt die Darmmotorik beeinträchtigen: Die freigesetzten Stresshormone hemmen die Peristaltik des Magens und des Darms, sodass auch hierdurch eine Darmträgheit entsteht.

Zahnerkrankungen haben häufig zur Folge, dass das Futter nur unzureichend zerkaut wird. Gelangen zu große Futterpartikel in den Magen-Darm-Trakt, kann es zu verschiedenen Verdauungsbeschwerden kommen. Insbesondere, wenn sich im Darm bereits Parasiten oder pathogene Bakterien befinden, kann eine zusätzliche Zahnproblematik zur "Eskalation" führen.

Ein geringgradiger Wurm- oder Kokzidienbefall oder eine geringe Anzahl pathogener Darmbakterien wird von einem gesunden Kaninchen meist gut toleriert. Eine zusätzliche Problematik kann jedoch dazu führen, dass sich die Parasiten bzw. Keime vermehren und eine Gasbildung hervorrufen oder verstärken.

Weniger…

Symptome bei Aufgasung

  • Apathie (= Teilnahmslosigkeit)
  • Anorexie (= Appetitlosigkeit)
  • vermehrtes Trinken
  • Ruhelosigkeit
  • gluckernde Verdauungsgeräusche
  • Zähneknirschen
  • gekrümmte Körperhaltung
  • aufgetriebener Bauch
  • erniedrigte Körpertemperatur
  • matschiger bis wässriger Durchfall
Mehr…

Beginnende Aufgasungen äußern sich häufig in "Bauchgluckern", vermehrtem Rückzugsverhalten und Futterverweigerung, teilweise auch mit Unruhe. Typisch für Bauchschmerzen ist außerdem ein vermehrtes Trinkverhalten.

Stark aufgegaste Kaninchen besitzen infolge der Schmerzen ein sichtlich gestörtes Allgemeinbefinden, das sich in Apathie, Appetitlosigkeit und einer gekrümmten oder liegenden Körperhaltung äußert. Manche Kaninchen drücken immer wieder den Bauch auf den Boden. Auch Ruhelosigkeit, bei der die Kaninchen wenige Schritte hoppeln, sich dann kurz hinlegen, wieder aufstehen usw. sind möglich. 

Der Körperumfang ist bei einer fortgeschrittenen Tympanie sichtlich vergrößert, der Leib fühlbar prall und gespannt. Meist geht die Tympanie mit einer Kreislaufschwäche und dadurch einer erniedrigten Körpertemperatur einher.

Je nach Ursache kann der Kot verändert sein:

  • Bei Verstopfungen sowie bei Futterverweigerung infolge von Unwohlsein werden häufig kleine, harte Köttel ausgeschieden oder es erfolgt gar kein Kotabsatz mehr.

  • "Köttelketten" deuten auf das vermehrte Abschlucken von Haaren hin, was den Verdacht auf eine Verstopfung durch einen Haarballen erhärtet.

  • Matschiger Kot ist die Folge einer Fehlgärung im Darm und somit die mögliche Folge eines Parasitenbefalls oder einer gestörten Darmflora.

  • Flüssiger Durchfall, schleimiger Kot oder Fieber deuten auf eine schwere bakterielle Darminfektion hin. Eine solche kann akut lebensbedrohlich werden! Sie muss umgehend anti- und probiotisch behandelt werden, darüber hinaus muss die Ursache abgeklärt werden.
Weniger…

Diagnostik bei Aufgasung

  • Palpation (= Abtasten)
  • Röntgendiagnostik
  • Urinuntersuchung zur Überprüfung der Stoffwechsellage
  • Zahn- und Kotuntersuchung zur Abklärung der Ursache
  • Blutuntersuchung
  • evtl. Ultraschall
Mehr…


Palpation

Stark aufgegaste Kaninchen besitzen einen fühlbar vergrößerten, prallen Leibesumfang. Geringere Aufgasungen lassen sich von einem geübten Tierarzt ebenfalls ertasten. Die Gasbildungen sind außerdem per Röntgenaufnahme eindeutig erkennbar.


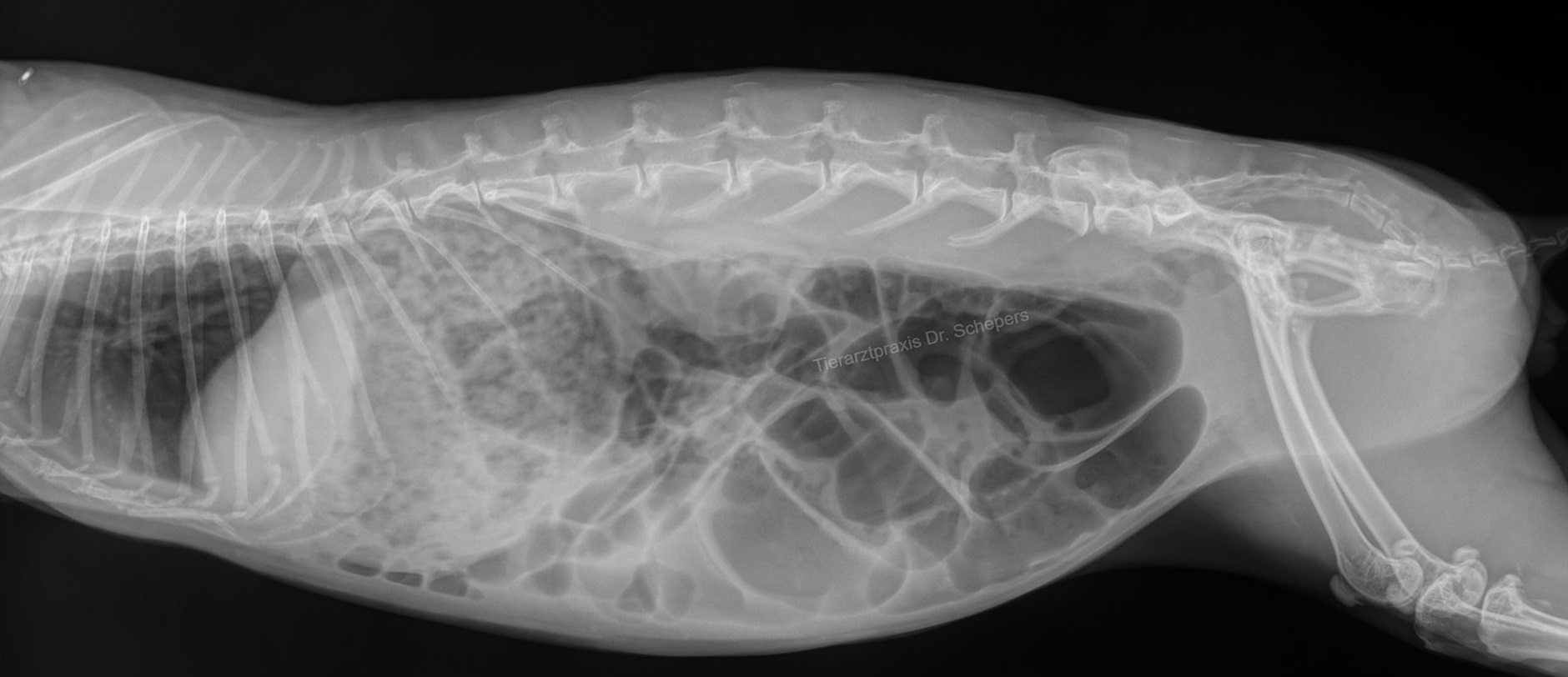
Röntgenuntersuchung

Die Röntgenuntersuchung ist mitunter überlebenswichtig, um einen Darmverschluss rechtzeitig zu erkennen! Erst, nachdem ein solcher ausgeschlossen wurde, darf bzw. muss ein aufgegastes Kaninchen engmaschig zwangsgefüttert werden, damit das Gas zügig aus dem Darm "geschoben" wird und die Symptome abklingen können. 

Ein Kaninchen mit einem massiv vergrößerten Magen und / oder einem Darmverschluss hingegen darf keinesfalls zwangsgefüttert werden! Hier muss zunächst die ursächliche Verstopfung behoben werden - dann entleert sich der überdehnte, unter Druck stehende Magen von selber in den Darm.


Harnuntersuchung

Die Urinuntersuchung dient vor allem der Überprüfung der Stoffwechsellage. Dadurch lässt sich einschätzen, wie kritisch der Gesamtzustand des Tieres ist: Im Normalfall liegt der Harn-pH-Wert zwischen 8 und 9. Ein pH-Wert von 5-6 deutet auf eine schwere Stoffwechselentgleisung und somit einen lebensbedrohlichen Zustand hin! 

Die Ausscheidung von Ketonkörpern ist ein Zeichen dafür, dass das Tier bereits seit einiger Zeit nicht ausreichend frisst und sich der Körper im Hungerstoffwechsel befindet. Achtung: Bei Urinsticks aus der Humanmedizin reagiert das Ketonkörper-Testfeld häufig falsch-positiv auf Kaninchenurin.

Bilirubin und Hämoglubin im Harn liefern einen Hinweis auf eine zugrundeliegende Lebererkrankung.


Kotuntersuchung

Durch eine Kotuntersuchung werden eventuelle Parasiten (meist Kokzidien) als mögliche Ursache nachgewiesen. Auch ein starker Hefebefall wird unter dem Mikroskop sichtbar. Zwar sind Hefen nie die Grundursache von Verdauungsbeschwerden, sie deuten aber bei vermehrtem Auftreten darauf hin, dass die Darmflora gestört ist (z. B. durch zuckerhaltige Ernährung). 

Bei massivem Befall können Hefen zusätzliche Beschwerden verursachen und sollten ggf. mitbehandelt werden. Beim Verdacht auf eine bakterielle Infektion (flüssiger Durchfall, schleimiger Kot, Fieber, entzündliche Blutbildveränderungen, wiederkehrende Aufgasungen ohne erklärbare Ursache) sollte der Tierarzt die Kotprobe außerdem ins Labor einsenden und eine bakteriologische Kotuntersuchung veranlassen.

Bei einem stark veränderten Kot genügt meistens bereits eine einzige Kotprobe, um z. B. Kokzidien als mögliche Ursache nachzuweisen. Anderenfalls ist eine Sammelkotprobe "treffsicherer". Wenn möglich, sollten Sie daher Kot von mehreren Tagen (mindestens 3) mit zum Tierarzt nehmen.


Zahnuntersuchung

Zahnerkrankungen werden durch eine Untersuchung der Maulhöhle und Röntgenaufnahmen / CTdes Schädels nachgewiesen. Die Maulhöhlenuntersuchung wird idealerweise mit einem Videootoskop durchgeführt. Alternativ kann mit einem normalen Otoskopaufsatz ins Mäulchen geschaut werden, die Beurteilung ist jedoch ohne Vergrößerung auf dem Bildschirm erheblich schwieriger. 

Niemals darf das Mäulchen bei einem nicht-narkotisierten Tier mit einem Maulspreizer aufgehebelt werden! Die reflexartigen, panischen Versuche des Kaninchens, das aufgespreizte Maul zu schließen, ist mit einem erheblichem Stress, Schmerz und Verletzungsrisiko verbunden! Maulspreizer dürfen daher ausschließlich am schlafenden Tier angewandt werden. Während einer akuten Aufgasung ist ein Kaninchen allerdings nicht narkosefähig, weshalb diese Diagnostikmethode hier nicht möglich ist.

Röntgenaufnahmen des Schädels helfen, Zahnwurzelerkrankungen festzustellen. Eine gerade gelagerte, seitliche Übersichtsaufnahme genügt im Notfall, um sich einen ersten Überblick zu verschaffen. Sie ist i. d. R. auch beim wachen Tier möglich, bei kreislaufschwachen Kaninchen jedoch hinten anzustellen.


Blutuntersuchung 

Eine Blutuntersuchung ist bei einem schlechten Allgemeinbefinden sowie beim Verdacht auf eine bakterielle Infektion unbedingt anzuraten: Auf die Weise kann der Tierarzt die organischen Funktionen beurteilen, Hinweise auf die Ursache erhalten und die Therapie ggf. anpassen.

Ein Ultraschall des Bauches ist bei Kaninchen zu empfehlen, die ohne ersichtlichen Grund immer wieder das Fressen einstellen, Aufgasungen und evtl. Durchfall zeigen. Gelegentlich sind hierfür chronisch entzündete Darmschlingen verantwortlich, die im Ultraschall dargestellt werden können. Auch eine Leberlappentorsion lässt sich im Ultraschall diagnostizieren. Während einer akuten schweren Aufgasung ist die Schallankopplung allerdings stark beeinträchtigt.

Weniger…

Therapie bei Aufgasung

* Diese Medikamente gehören in die Hausapotheke. Sie können bereits auf Verdacht als Erste-Hilfe-Medikamente eingegeben werden, bevor Sie sich auf den Weg zum Tierarzt machen (Dosierung s. u.).

Mehr…


Schmerztherapie

Eine adäquate Schmerzbehandlung ist absolut unerlässlich, um den Teufelskreis Schmerzen - verminderte Darmmotorik - Gasbildung - noch stärkere Schmerzen zu durchbrechen.

Das Schmerzmittel erster Wahl ist Metamizol (4-6x tgl. 50 mg / kg oder 4x tgl. 75 mg / kg p. o., s. c. oder i. v.). Bei hochgradigen Aufgasungen kann der Tierarzt zusätzlich Butorphanol (4-6x tgl. 0,4 mg / kg s. c., i. m. oder i. v.) oder Buprenorphin (3x tgl. 0,01-0,05 mg / kg s. c., i. m. oder i. v) geben.

Meloxicam ist bei Aufgasungen nicht geeignet! 


Antitympanikum

Aufgegaste Kaninchen werden mit einem Antitympanikum gegen schaumige Gasbildung versorgt. Dieses führt zwar nicht zur Auflösung des Gases, jedoch verkleinert es die Gasblasen, wodurch sie leichter abtransportiert und ausgeschieden werden können.

Geeignet ist Dimeticon oder Simeticon. Bei hochgradigen Aufgasungen kann alle 1-2 Stunden 1 ml / kg p. o. eingegeben werden.


Prokinetikum

Ein Prokinetikum (i. d. R. Metoclopramid, z. B. Emeprid®) verfolgt zwei Ziele: Erstens stimuliert es die Magenmuskulatur, um den Weitertransport des Nahrungsbreis und somit auch den Abtransport des Gases zu fördern. Zweitens wirkt es übelkeitshemmend und appetitanregend. Je früher ein aufgegastes Kaninchen wieder selbstständig frisst, umso besser ist die Prognose!

Metoclopramid wird über 3 Tage 3x täglich in einer Dosierung von 0,5 mg / kg oral oder subkutan gegeben. Bei einer Verstopfung, Stase, einer Darmlähmung oder einem Darmverschluss sollte die erste Dosis mit 5 mg / kg, also zehnmal höher, dosiert werden und nicht oral eingegeben, sondern gespritzt werden. 

Im Falle von Durchfall sollte hingegen abgewogen werden, ob ein Prokinetikum sinnvoll ist: Durch den schnellen Vorwärtstransport des Nahrungsbreis wird im Dickdarm weniger Flüssigkeit resorbiert. In der Folge wird die Kotkonsistenz mitunter noch flüssiger. Dies ist bei starken Aufgasungen das kleinere Übel; bei nur geringgradigen Blähungen und gleichzeitig starkem Durchfall hingegen wird tendenziell eher auf die Anwendung von Prokinetika verzichtet.


Antiemetikum

Antiemetika sind übelkeitshemmende Medikamente. Soll ein Kaninchen kein Metoclopramid (mehr) bekommen (welches ebenfalls eine antiemetische Wirkung hätte) oder ist dies von der Wirksamkeit her nicht ausreichend, kann stattdessen oder zusätzlich Maropitant (z. B. Prevomax®) in einer Dosierung von 1x tgl. 1 mg / kg verwendet werden. Zusätzlich zur übelheitshemmenden hat es auf den Magen-Darm-Trakt auch eine antientzündliche und prokinetische (motorikstimulierende) Wirkung. 

Wird Cerenia® gespritzt, sollte es in ein kleines Infusionsdepot (z. B. 5-10 ml NaCl oder RiLac) injiziert werden, da es ansonsten stark brennt. Bei Prevomax® scheint dies nicht der Fall zu sein.


Antibiotika

Antibiotika sind bei einer bakteriellen Infektion erforderlich. Eine solche liegt z. B. vor, wenn der Blinddarm hochgradig aufgegast ist, wenn das Kaninchen matschig-flüssigen, schleimigen oder blutigen Kot absetzt, Fieber (> 39,5° C) oder eine sogenannte Pseudo-Linksverschiebung (= prozentual mehr Neutrophile Granulozyten als Lymphozyten) im Blutbild hat. 

Auch, wenn im Ultraschall eine chronische Darmentzündung nachgewiesen wird, kommen Antibiotika zum Einsatz.

Als alleinige Therapiemaßnahme oder als Therapie ohne Ursachenabklärung sind Antibiotika keinesfalls geeignet! Außerdem muss in jedem Fall ein darmfreundliches Antibiotikum mit vorwiegend gram-positivem Wirkspektrum verwendet werden.

Meist werden Enrofloxacin (2x tgl. 10 mg / kg p. o., s. c. oder i. v.; z. B. Orniflox®, Baytril®, Enrotron®) und Metronidazol (2x tgl. 20 mg / kg p. o., z. B. Eradia®, oder 5 mg / kg i. v. mit Metronidazol-Infusionslösung) in Kombination eingesetzt. Alternativ eignet sich z. B. Pradofloxacin (2x tgl. 5 mg / kg p. o.).

Auch, wenn bereits eine Sepsis (Blutvergiftung) vorliegt oder der Verdacht auf eine solche besteht, sind Antibiotika potenziell lebensrettend. Eine Sepsis kann auftreten, wenn die Blut-Darm-Schranke in Folge der gasbedingten Druckbelastung durchlässig für Darmbakterien geworden ist oder wenn die Darmschleimhäute direkt durch einen Erreger geschädigt wurden. Eine (intravenöse) Doppel-Antibiose ist dann die einzige Möglichkeit, das Kaninchen noch zu retten.


Pro- und Präbiotikum

Pro- und Präbiotika (z.B. Apfelpektin, OmniBiotic10®, PrePreBac®) sind im Falle einer Darmproblematik immer hilfreich, um die gutartige Darmflora zu unterstützen.

Präbiotika wie Pektine enthalten Fasern, von welchen sich die gutartigen Darmbakterien ernähren. Probiotika (z. B. ProPreBac®, OmniBiotic10®) hingegen enthalten die Bakterien selbst.  Hier erfahren Sie mehr zur Anwendung und Dosierung.


B-Vitamine

Hochgradige Aufgasungen sowie flüssiger oder schleimiger Kot deuten auf eine schwere Entgleisung der Darmflora hin, welche für die Produktion der B-Vitamine zuständig ist. In einem solchen Fall ist es sinnvoll, dem Kaninchen vorübergehend einen Vitamin-B-Komplex zuzuführen.

Gut geeignet sind zum Beispiel Rodicare Vita B® (1x tgl. 0,5 ml / kg p. o.) zur oralen Verabreichung oder Ampullen / Injektionslösungen zur subkutanen Verabreichung. Wird Vitamin B gespritzt, sollte es in ein kleines Infusionsdepot injiziert werden, da es ansonsten stark brennt.


Infusionen

Infusionen zur Kreislaufstabilisierung sind bei hochgradigen Aufgasungen potenziell lebensrettend! Sehr schwache Kaninchen sowie Tiere mit Untertemperatur müssen vom Tierarzt stationär aufgenommen und intravenös infundiert, also an den Tropf gehängt werden.

Unter die Haut gespritzte Infusionen sind bei einer bereits vorhandenen Kreislaufschwäche (d. h. bei deutlicher Untertemperatur oder einem stark gestörten Allgemeinbefinden) schlecht bis gar nicht wirksam! Durch die eingeschränkte periphere Durchblutung wird das verabreichte Flüssigkeitsdepot in diesem Fall nicht oder nur sehr langsam resorbiert!

Achtung: Bei unklaren oder erhöhten Leberwerten sollte einem aufgegasten Kaninchen kein Ringer-Lactat verwendet werden, sondern Ringerlösung oder Sterofundin. Lactat belastet eine bereits vorgeschädigte Leber zusätzlich. Dies kann z. B. im Falle einer Leberlappentorsion schwerwiegende Folgen haben. Besteht kein Verdacht auf ein Leberproblem oder wurde ein solches im Zuge einer Blutuntersuchung ausgeschlossen, ist Ringer-Lactat hingegen gut geeignet, da aufgegaste Kaninchen meist einen übersäuerten Stoffwechsel aufweisen und von der Pufferwirkung des Lactats profitieren.  

Hier finden Sie ausführliche Informationen zum Thema Infusionen.

Bei Magen-Darm-Erkrankungen hat es sich bewährt, die Infusionslösung mit Lidocain zu versetzen. Dieses wirkt im Verdauungstrakt schmerz- und entzündungshemmend sowie motorikfördernd. Empfohlen wird eine Dosis von 3-6 mg pro kg und Stunde. Rechenbeispiel: Bekommt das Kaninchen eine Infusion mit der Geschwindigkeit 10 ml/kg/Std, müssen jeweils 100 ml Infusionslösung mit 1,5-3,0 ml Lidocain 2% angereichert werden.


Catosal®

Bei Kreislaufschwächen aller Art hat sich Catosal® (1x tgl. 1 ml / kg s. c.) bewährt. Es kurbelt verschiedene Stoffwechselprozesse an und trägt zur Stabilisierung des Kreislaufs bei.


Huminsäuren

Huminsäuren kleiden die Darmschleimhaut schützend aus, fördern ihre Regeneration und hemmen die Resorption von Giftstoffen. Die empfohlene Dosierung beträgt 2x tgl. 1 g / kg p. o.. 

Um die Dosierung und Eingabe zu erleichtern, können Pulverpräparate in Wasser aufgelöst werden. Huminsäuren sollten immer mindestens 30 Minuten zeitversetzt zu anderen oralen Medikamenten verabreicht werden, da sie ihre Resorption beeinträchtigen können!


Aktivkohle


Aktivkohle wirkt symptomatisch gegen Durchfall und bindet Toxine. Sie ist sinnvoll, wenn die Aufgasung von hochgradigem Durchfall begleitet wird oder der Verdacht im Raum steht, dass pathogene Darmkeime für die Gasbildung ursächlich sind. Die Dosierung beträgt 4-6x tgl. 1 g / kg p. o..

Kohlepräparate müssen immer mindestens 30-60 Minuten zeitversetzt zu anderen oralen Medikamenten verabreicht werden, da sie ihre Resorption beeinträchtigen können!


Wärme

Wärmezufuhr ist bei Untertemperatur überlebenswichtig. Unterkühlte Kaninchen sollten immer in einer Box untergebracht werden, in der sie warmgehalten werden können.

Hierzu können Sie dem Kaninchen beispielsweise Wärmflaschen oder Wärmekissen, die in der Mikrowelle aufgewärmt werden, in die Box legen. Decken Sie das Kaninchen und das Wärmedepot zusammen mit einer Decke zu, damit sich die Wärme besser staut. Achten Sie darauf, dass die Wärmequelle nicht so heiß ist, dass sie bei direktem Kontakt Verbrennungen verursachen könnte. 

Auch mit warmem Wasser gefüllte Handschuhe sind ein gutes Wärmedepot. Sie können jedoch leicht durch Krallen oder Zähne beschädigt werden. Durch das auslaufende Wasser wird das Tier dann durchnässt und unterkühlt noch stärker.

Weiterhin ist es möglich, die Box auf eine elektrische Heizmatte zu stellen oder eine Rotlichtlampe oder einen Heizlüfter in ausreichender Entfernung (!) auf die Gittertür der Box zu richten. Bei diesen Vorgehensweisen ist allerdings absolute Vorsicht geboten, da das Kaninchen der Wärme nicht ausweichen und somit leicht überhitzen kann.

Kontrollieren Sie zu Beginn alle 15 Minuten die Körpertemperatur und halten Sie Ihre Hand neben das Kaninchen in die Box, um zu prüfen, wie viel Wärme dort ankommt.


Diätkost

Bieten Sie dem Kaninchen bei starken Aufgasungen ausschließlich Schonkost an. Dazu gehören das gewohnte, rohfaserhaltige Grünfutter (Wiesen- oder Küchenkräuter, Blattgemüse, Gräser, Zweige) sowie Heu. Als Getränk haben sich - zusätzlich zum Wasser - Fenchel- und Kümmeltee bewährt, da sie krampflindernd wirken.


Laktulose

Als Abführmittel beschleunigt Laktulose den Transport des Nahrungsbreis durch den Magen-Darm-Trakt. Somit hilft sie auch dabei, Gas schneller abzutransportieren. Im Falle einer Vergiftung, einer Verstopfung oder eines Darmverschlusses gehört Laktulose ebenfalls zu den essenziellen Therapiemaßnahmen.

Je nach Schweregrad der Aufgasung wird Laktulose mindestens dreimal täglich und maximal einmal pro Stunde eingegeben (1-2 ml / kg p. o.).


Zwangsfütterung

Eine Zwangsfütterung ist bei Kaninchen notwendig, die nicht von selber fressen und bei denen ein Darmverschluss per Röntgendiagnostik ausgeschlossen wurde. Sie sollte zügig eingeleitet werden, um den Verdauungstrakt wieder in Schwung zu bringen, das Gas "voranzuschieben" und die Darmflora sowie den Kreislauf zu stabilisieren.

Wichtig: Bei einer hochgradigen Aufgasung sind in kurzen Abständen kleine Mengen zu päppeln, z. B. stündlich 3-5 ml / kg: Infolge des umfangsvermehrten Blinddarms hat der Magen kaum Platz, um sich auszudehnen. Wird er übermäßig gefüllt, entsteht ein zusätzlicher Druck aufs Zwerchfell und die großen Gefäße! Bei gering- und mittelgradigen Aufgasungen dürfen größere Mengen auf einmal gefüttert werden.

Achtung: Bei einer starken Magendilatation oder einem Darmverschluss ist auf eine Zwangsfütterung zunächst zu verzichten! Hier muss zunächst die gestörte Magenentleerung bzw. die zugrunde liegende Verstopfung behandelt werden!

Schleimhautschutz

Ein Magen-Darm-Schleimhautschutz über mindestens 3 Wochen kommt insbesondere bei chronischen Magen- oder Darmentzündungen, wiederkehrenden Bauchschmerzen unklarer Ursache oder bei einer sehr starken Symptomatik zum Einsatz. Bewährt hat sich Bariumsulfat (2x tgl. 1 ml / kg p. o.), welches im gesamten Magen-Darm-Trakt wirkt, indem es die Schleimhäute auskleidet. Für Entzündungen im Bereich des Magens oder vorderen Dünndarms eignet sich auch  Sulcralfat (z. B. Sucrabest® Granulat) in der Dosierung 2x tgl. 25 m / kg p. o..


Niemals Buscopan®!

Keinesfalls darf dem Kaninchen ein Muskelrelaxans wie Buscopan® verabreicht werden! Diese Medikamente führen zur Muskelerschlaffung, würden also den ohnehin schwach bemuskelten Darmtrakt des Kaninchens komplett lahmlegen. Gerade bei einer bereits vorhandenen Verdauungsproblematik endet dies oftmals tödlich!

Weniger…

Prognose bei Aufgasung

Die Prognose ist vom Schweregrad der Aufgasung, von der Ursache und von der Qualität der Therapie abhängig. Letztere ist leider oftmals mangelhaft - mit 2-3 Medikamenten und ein bisschen Päppeln ist es hier nicht getan!

Kaninchen mit einer schweren Aufgasung sind absolute Intensivpatienten, die eine Reihe von Medikamenten benötigen, stationär aufgenommen, gewärmt, an den Tropf gehängt und 24 Stunden am Tag alle 1-2 Stunden mit Medikamenten versorgt werden müssen! 

Soweit möglich, müssen die Medikamente intravenös verabreicht werden. Die Temperatur der Tiere muss engmaschig überwacht und die Medikation je nach Krankheitsverlauf angepasst werden. Auch in kaninchenerfahrenen Händen ist die Prognose vorsichtig, da es trotz aller Bemühungen möglich ist, dass die massive Entgleisung der Darmflora zu einer tödlichen Blutvergiftung (septischem Schock) führt. Bei nicht-kaninchenerfahrenen Tierärzten haben die Tiere kaum eine Überlebenschance.

Es kann durchaus 2-3 Tage dauern, bis eine Besserung eintritt und die Tiere außer Lebensgefahr sind. Auch danach vergehen mehrere Tage, bis das komplette Gas ausgeschieden wurde. Oft sind röntgenologisch und palpatorisch (=  beim Tasten) noch riesige Gasmengen feststellbar, wenn das Allgemeinbefinden bereits besser und der Kreislauf wieder stabil ist. Die Medikation muss dann unbedingt konsequent fortgeführt werden, auch wenn eine intravenöse Verabreichung und Infusion nicht mehr erforderlich sind.

Bei gering- bis mittelgradigen Aufgasungen ist die Prognose besser, sofern die Kaninchen schnellstmöglich mit allen notwendigen Medikamenten (v. a. darmfreundliche Antibiose, Metamizol, Metoclopramid und Simeticon) versorgt werden. Nur mit einer frühzeitigen Behandlung lässt sich verhindern, dass die Gasbildung weiter zunimmt und das Tier in einen kritischen Zustand gerät. Liegt eine schwerwiegende Ursache wie eine Leberlappentorsion zugrunde, muss natürlich auch diese erkannt und behandelt werden.